Depois de ir de moto ao Deserto de Atacama e à região de Antofagasta, retornamos à Argentina, onde sofri um grave acidente em que perdi a moto e fiquei com o ombro bastante ferido.
Dia 25 — De San Pedro de Atacama a Purmamarca — 421 km
Dia 26 — Termas de Caymancito — 220 km
Dia 27 — Parque Nacional Calilegua — 65 km
Distância total percorrida de moto: 5.611 km
De volta à Argentina pelo Passo Jama
Quando iniciamos nossa viagem de moto ao Deserto de Atacama, em 2024, meu amigo Fábio e eu pretendíamos ir ao Chile pelo Passo Jama e retornar à Argentina por outro caminho. Uma das nossas opções para a volta seria o Passo San Francisco, que liga Copiapó, no Chile, a Fiambalá, na Argentina. No entanto, nossa viagem coincidiu com uma anomalia climática que trouxe neve fora de época para as montanhas mais ao sul. Estradas de montanha não pavimentadas foram fechadas e até o movimentado Passo Los Libertadores, que liga Santiago a Mendoza por estrada asfaltada, ficou bloqueado por alguns dias.
Assim, a opção mais sensata passou a ser retornar pelo mesmo caminho da ida. O Passo San Francisco ficou para outra viagem. Isso não foi ruim já que, como contei num post anterior, na viagem de ida eu estava tão preocupado com o vento forte na Cordilheira que nem prestei muita atenção à paisagem. Na volta à Argentina, pude apreciar melhor o impressionante cenário ao longo da estrada.
Assim, em nosso 25º dia de viagem, deixamos San Pedro de Atacama por volta de 8:00 e tomamos a já conhecida Ruta 27 em direção ao Passo Jama. Com tranquilidade, fomos passando pelas atrações cênicas ao longo da rodovia, como os vulcões Licancabur e Juriques, a Quebrada Quepiaco, os salares Tara e Loyoques, a Caldera La Pacana e montanhas como o Cerro Pili e o Nevado de Poquis.

Passeios em Purmamarca
Depois de cruzar a fronteira, passamos a percorrer a RN-52 argentina, outra estrada supercênica. Do passo Jama, descemos em direção ao Salar de Olaroz, onde fica uma enorme mina de lítio. No final da travessia desse salar, fomos surpreendidos por uma tempestade de areia um tanto assustadora. A areia cobria parcialmente o asfalto e prejudicava a visibilidade. Felizmente, o trecho problemático era curto e saímos rapidamente dele.
Passamos por Susques, onde havíamos dormido na viagem de ida, e descemos às Salinas Grandes, onde paramos para almoçar uma tortilla. Depois, nova subida até um passo a 4.170 metros, de onde passamos a descer a cênica Cuesta de Lipán em direção a Purmamarca, onde passaríamos a noite. Duas semanas antes, havíamos passado muito calor nessa cidade. Mas, naquele fim de tarde (14 de maio), fomos surpreendidos por uma frente fria que fez a temperatura cair para menos de 10ºC.
Aproveitamos a manhã seguinte para caminhar em volta de Purmamarca, uma das cidadezinhas mais agradáveis da região. Primeiro, percorremos o Passeo de Los Colorados, uma estradinha que faz um percurso circular pelos morros a sudoeste da cidade. Em vários momentos, fomos observados por policiais; e um deles nos impediu de seguir por uma trilha que aparece nos mapas mas que, segundo ele, havia sido interditada.
Depois, atravessamos a RN-52 e subimos em direção a um mirante a nordeste da cidade. Depois desse mirante, a trilha continua para oeste. De acordo com os mapas, seria possível fazer um percurso circular descendo pelo vale a nordeste. Mas algumas pessoas que encontramos nos disseram que o caminho adiante estava erodido e perigoso. Então, voltamos pelo mesmo caminho a Purmamarca, onde almoçamos uma tortilla na praça antes de retomar nossa viagem de moto.

Termas de Caimancito
Como ainda tínhamos alguns dias sobrando, Fábio e eu decidimos ir conhecer o Parque Nacional Calilegua antes de retornar ao Brasil. Esse parque, na província de Jujuy, ocupa uma área de floresta úmida na região conhecida como Yungas, ao pé das serras que levam à Puna, o altiplano argentino. Tomamos a RN-9 até San Salvador de Jujuy. Fazia frio nesse trecho, o que, mais uma vez, nos surpreendeu. Duas semanas antes, havíamos sentido bastante calor lá.
Prosseguimos pela RN-66 e pela RN-34 até a cidade de Libertador General San Martin. Num posto de informações turísticas, perguntamos sobre as Termas do Rio Jordán, no PN Calilegua, que queríamos conhecer. Essas termas ficam num vale entre as montanhas, acessível por uma caminhada de 5 km começando perto do povoado de San Francisco. Mas, no posto de informações, nos disseram que o acesso estava fechado por ser época de chuvas. A visitação geralmente é permitida de junho a novembro, quando chove menos nos Yungas.
A simpática senhora que nos atendeu sugeriu, então, que fôssemos às Termas de Caimancito, uns 40 km a nordeste. O local é uma pousada onde há um restaurante e uma nascente, com água quentíssima, que alimenta um conjunto de três piscinas. Nos instalamos num dos apartamentos da pousada e aproveitamos o fim da tarde nas piscinas.
O Parque Nacional Calilegua
Na manhã seguinte, uma quinta-feira, nosso plano era subir até o vilarejo de San Francisco por uma estradinha que atravessa o Parque Nacional Calilegua, a Ruta Provincial 83 (RP-83). Planejamos passar uma noite no povoado, passear um pouco pelas montanhas ao redor dele e voltar pelo mesmo caminho na sexta-feira. Depois disso, iniciaríamos nosso retorno ao Brasil no final de um mês de excelente viagem por três países.
Pedimos informações no escritório do Parque Nacional Calilegua, no início da RP-83. Nos disseram que a estrada estava boa e que poderíamos ir a San Francisco de moto tranquilamente. Fomos subindo a serra pela estradinha, que tinha alguns trechos de lama. Paramos para comer nosso lanche e também para passear numa das trilhas que começam na estrada. A trilha em que caminhamos segue pela mata e chega à margem de um riacho encachoeirado.
Acidente na serra
O tempo estava muito úmido, com garoa e neblina em alguns trechos. Depois de uns 25 km, cheguei a um lamaçal numa curva para a direita. O lugar era exposto, com um precipício à esquerda, do tipo “estrada da morte”, mas não prestei muita atenção nisso. O Fábio já havia passado pelo lamaçal e estava parado mais adiante. Engatei a primeira, acelerei e fui em frente, seguindo pelas marcas de pneus de caminhão no lado esquerdo da estrada, que era bastante estreita nesse trecho.
Não sei exatamente como derrapei e saí da pista. Mas, quando percebi, eu estava despencando no precipício junto com a moto. Caí quase 30 metros, a altura de um prédio de 10 andares (os bombeiros que me resgataram mediram a altura com a mangueira que usaram para me içar). Já a moto foi muito mais longe. Nunca mais a vi, já que ficou caída entre as árvores no profundo vale abaixo.
Quando caí, a primeira surpresa foi despencar no precipício, um movimento que parecia não ter fim. Nunca tinha imaginado sofrer um acidente como aquele. Também lembro que a moto bateu com força no meu ombro esquerdo. Ela devia pesar quase 200 kg com combustível, a carga e os acessórios que eu havia instalado. Esse choque quebrou quatro das minhas costelas, rompeu dois ligamentos do meu ombro esquerdo e produziu uma luxação acromioclavicular severa. Felizmente, depois desse encontro doloroso, a moto e eu nos separamos. Fui rolando morro abaixo, batendo nas pedras, até conseguir parar num patamar inclinado.
A culpa foi minha, é claro
O acidente foi falha minha, é claro, já que não havia nenhuma outra pessoa envolvida. As condições da estrada deveriam ter acendido um sinal amarelo na minha cabeça:
- A estrada estava enlameada naquele trecho; e eu não tinha experiência em pilotar na lama.
- Havia garoa e neblina na serra.
- No local onde caí, havia um precipício à esquerda, sem barreira de proteção, num lugar onde a única vegetação eram pequenas touceiras de capim.
Eu deveria ter passado por aquele trecho enlameado e exposto com extrema cautela; ou poderia até ter desistido de ir a San Francisco. Mas não fiz nada disso. Acelerei (em primeira marcha) e fui em frente. Segui a linha deixada por pneus de caminhões à esquerda, a centímetros do precipício, o que foi um erro grave. Derrapei, saí da pista e despenquei.
O resgate
Quando olhei para cima vi o Fábio na beira da estrada. Fiz sinal para ele, que respondeu que iria buscar ajuda. Tentei subir sozinho, mas desisti depois de escorregar algumas vezes. Meu ombro esquerdo começava a doer bastante. E, no lugar onde eu estava, não havia vegetação firme para eu me segurar (os bombeiros desceriam, depois, por um caminho lateral, onde havia uns arbustos). Me convenci de que não conseguiria sair de lá sozinho.
Tentei usar o celular, mas não havia sinal. Eu tinha um localizador e comunicador via satélite Spot, que deveria servir para pedir ajuda em caso de emergência. Mas ele estava na moto e, portanto, inacessível. Deixá-lo lá foi um erro grave, que não pretendo cometer novamente. O comunicador de emergência, o celular, e os documentos essenciais precisam estar sempre no bolso da jaqueta, já que a moto pode ser roubada ou cair num rio ou em outro lugar inacessível, como aconteceu comigo.
O resgate demorou horas para chegar. Fábio teve de ir até um posto de guarda parques, onde só encontrou alguns turistas que estavam partindo em direção a Libertador General San Martín. Pediu a eles que avisassem à administração do parque sobre o acidente, o que eles fizeram. Bastante tempo depois, apareceram policiais, bombeiros e mais de uma ambulância. Eu disse à equipe de resgate que poderia tentar subir, com ajuda deles, pelo caminho lateral por onde tinham descido. Mas o chefe dos bombeiros avaliou que seria mais seguro me içar numa maca. Ele temia que eu tivesse alguma lesão na coluna, que poderia se agravar se eu tentasse subir andando.
Parte do problema é que eu não sabia como dizer “ombro” em espanhol (diz-se “hombro”, com pronúncia quase idêntica à do português). Erroneamente, usei a palavra “espalda”, que significa “costas”. Assim, os bombeiros pensaram que eu tinha uma lesão na coluna quando, na verdade, o ferimento era no ombro.

De ambulância, para o hospital
O içamento foi demorado e trabalhoso. Os bombeiros até tentaram içar a maca com um guincho elétrico. Mas isso acabou se mostrando inviável. Como a estrada era muito estreita, não havia espaço suficiente para o guincho estacionar a 90 graus, de modo que o cabo saísse em direção ao precipício.
O jeito foi puxar a maca no braço, usando uma corda e uma mangueira de incêndio. Dois bombeiros subiram suspensos ao meu lado para guiá-la e desenroscá-la das pedras e plantas. Um deles, às vezes, se apoiava no meu ombro ferido, que doía bastante. Terminado o içamento, me puseram numa ambulância, onde a enfermeira me injetou soro com algum analgésico. Ela me disse que iríamos chacoalhar bastante na estrada não pavimentada e que o analgésico ajudaria a reduzir a dor. Eu tinha 61 anos e foi a primeira vez que andei numa ambulância.

No hospital Oscar Orias, em Libertador General San Martín, dois médicos me atenderam. Fizeram uma tomografia e uma radiografia do ombro e me avisaram sobre as costelas fraturadas e a luxação. Fiquei um bom tempo em observação, até que me liberaram, por volta das 22 horas, com a recomendação de que avaliasse a necessidade de cirurgia. É um hospital pequeno numa cidade pequena. Mas as pessoas que trabalham lá fizeram o possível para me dar um bom atendimento. Então, sou muito grato a todas elas.
Naquela época, brasileiros podiam usar o serviço público de saúde argentino. Assim, não precisei acionar meu seguro de viagem. Mas parece que isso mudou depois e, agora, situações assim exigem um seguro.
Seguros e burocracia
Quando saí do hospital, Fábio já tinha se instalado num hotel em Libertador General San Martín e reservado um quarto para mim. Eu acabaria ficando lá por quatro noites, até voltar de avião a São Paulo. Nesse período, Fábio contratou um morador de San Francisco, o Sr. Victorino, para recuperar o que pudesse da minha bagagem que estava na moto. O Sr. Victorino foi muito solícito. Ele desceu e subiu a encosta da serra repetidas vezes, por diversos caminhos, e conseguiu encontrar boa parte da bagagem, que havia se espalhado na queda.
Também fomos a uma delegacia fazer um registro oficial do acidente. Essa delegacia era um tanto precária, mas o policial que nos atendeu foi prestativo. Ele fez várias perguntas e datilografou um relato numa folha de papel, incluindo, a nosso pedido, a informação de que a moto havia caído num lugar inacessível. No final, bateu um carimbo da Polícia de Jujuy e nos entregou o documento, que seria indispensável para obter a indenização da seguradora pela perda da moto.
Paralelamente, abri um processo de sinistro na seguradora Tokio Marine. O resgate da moto parecia inviável, já que ela havia caído num local de acesso muito difícil. Seriam necessários um guincho com uns 100 metros de cabo e uma equipe capaz de descer até a moto para içá-la, algo difícil de conseguir. Além disso, eu estava ferido e sentindo dor, sem condições de providenciar o içamento.
As primeiras conversas com a seguradora foram um tanto surreais, já que as atendentes não entendiam a complexidade da situação. O processo todo acabaria demorando quase dois meses, mas consegui a indenização por perda total. A ajuda do corretor (o Roberto, dono da Vida Melhor Seguros e meu amigo desde o tempo do ensino médio) foi fundamental para isso.
Volta ao Brasil
No sábado, dois dias depois do acidente, decidi voltar de avião ao Brasil para cuidar do meu ombro e comprei a passagem para segunda-feira. Fábio partiu no domingo logo cedo, de moto. Na madrugada de segunda-feira, o Sr. Palacios, um prestativo taxista que havíamos conhecido lá em Libertador General San Martín, me levou a San Salvador de Jujuy. Lá, peguei um voo para Buenos Aires e, em seguida, outro para São Paulo.
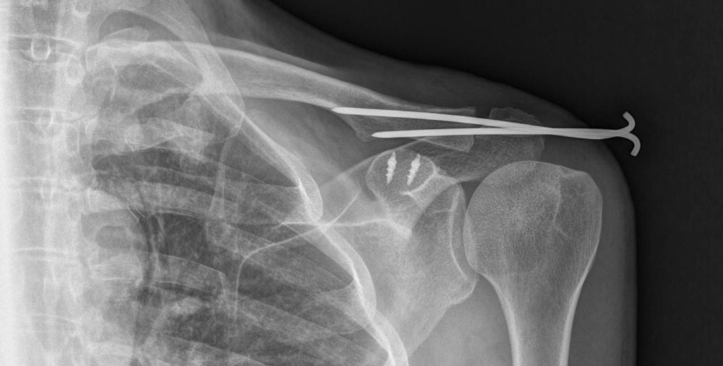
Uma semana depois, eu seria operado no Hospital Santa Catarina, em São Paulo. Os médicos, liderados pelo competente Dr. Fábio Capo, reposicionaram meu acrômio e usaram um conjunto de âncoras e fios metálicos para fixá-lo à clavícula. Também instalaram duas varetas que prenderiam os ossos durante umas seis semanas e seriam, depois, removidas. Eu ficaria dois meses com o braço imobilizado para, então, começar o lento processo de reabilitação.

Ainda acionei a seguradora Intermac (que opera com a retaguarda da AIG), com a qual eu tinha contratado meu seguro de viagem. Entre os itens cobertos pelo seguro, estava o meu retorno ao Brasil em caso de acidente. Por isso, pedi que me pagassem a passagem aérea de volta. Esse processo acabou se arrastando e, mesmo apresentando um laudo do hospital que me atendeu em Libertador e outros documentos, não consegui o reembolso. A Intermac alegou que o retorno só estaria coberto pelo seguro em situações de urgência — algo que não estava escrito na apólice.
Algumas conclusões
Depois desse acidente, encontrei diversos relatos de motoqueiros que se acidentaram em viagens. Estes são alguns exemplos:
- Um mototurista saiu da pista quando recebeu uma forte rajada de vento ao sul de Esquel, na Ruta 40 Argentina, e bateu em pedras ao lado da estrada.
- Outro distraiu-se e entrou num trecho de rípio em alta velocidade na Ruta 3, ao sul de Rio Gallegos, também na Argentina; perdeu o controle e foi para o chão.
- Um terceiro, sofrendo com a altitude, caiu sozinho no Chile, perto do Passo San Francisco.
- Um quarto passou sobre uma poça d’água congelada nos Andes peruanos e derrapou para fora da pista.
- Uma holandesa muito experiente caiu ao atravessar uma valeta numa estradinha enlameada na Tanzânia e sofreu fratura múltipla na clavícula.
- Um casal seguia em motos separadas numa estrada da Terra do Fogo chilena. Uma forte rajada de vento fez um dos dois perder o controle e bater no outro. Foram ambos para o chão.
Em todos os casos que citei, a culpa foi 100% do piloto, já que não havia nenhum outro veículo envolvido no acidente. Obviamente, não se pode culpar o vento ou a estrada. Se as condições meteorológicas inviabilizam a pilotagem, é preciso aguardar que melhorem. Se o piloto decide prosseguir, está assumindo o risco.
Na maioria dos acidentes que descrevi, o piloto terminou com algum ferimento significativo — em geral, no ombro. Vários desses acidentes resultaram em fratura de clavícula. Em pelo menos três deles, houve necessidade de cirurgia.
Considerando que as lesões no ombro são comuns em acidentes de moto, parece-me que temos de encontrar uma maneira de proteger melhor essa parte do corpo. Talvez uma jaqueta ou colete com air bag ajude; ou ainda uma armadura como as usadas pelos pilotos de motocross. O fato é que as jaquetas comuns com ombreiras e os coletes protetores de coluna não são suficientes, já que não protegem as costelas e nem o ombro inteiro.
Balanço final

Não tive nenhum arranhão (exceto um bem superficial, na perna, que descobri alguns dias depois) e não sofri lesões na coluna. Eu estava usando jaqueta, calça, botas, colete protetor de coluna e luvas de motociclismo. Esses equipamentos ficaram enlameados, mas inteiros. No capacete, o único dano foram alguns riscos na viseira. O fato de eu estar com roupa térmica e impermeável, além de uma roupa interior do tipo “segunda pele”, me protegeu do frio e da garoa, evitando uma hipotermia.
O acidente foi sério e eu poderia ter morrido. Minha recuperação demorou uns seis meses e deixou sequelas. Sei que meu ombro nunca ficará 100% bom. Mesmo assim, quase um ano depois do acidente, comprei outra moto. É difícil avaliar se os benefícios psicológicos de viajar de moto compensam os riscos físicos dessa atividade. Mas parece-me que, no meu caso, esses benefícios são suficientemente importantes para me encorajar a seguir pilotando. Nos próximos dias (abril de 2026), devo iniciar uma nova viagem à Cordilheira dos Andes.
Para terminar, fica um agradecimento a todas as pessoas que me ajudaram nesse episódio, na Argentina e no Brasil. Não vou listar um por um porque eu certamente esqueceria alguém, já que são muitas pessoas. Mas vale um obrigado especial ao Fábio, que fez o possível para me apoiar após o acidente.
People who jump waterfalls sometimes can make mistakes.
— Paul McCartney